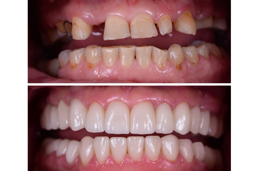
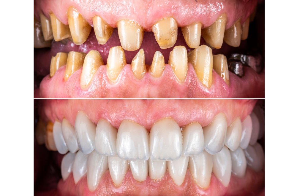
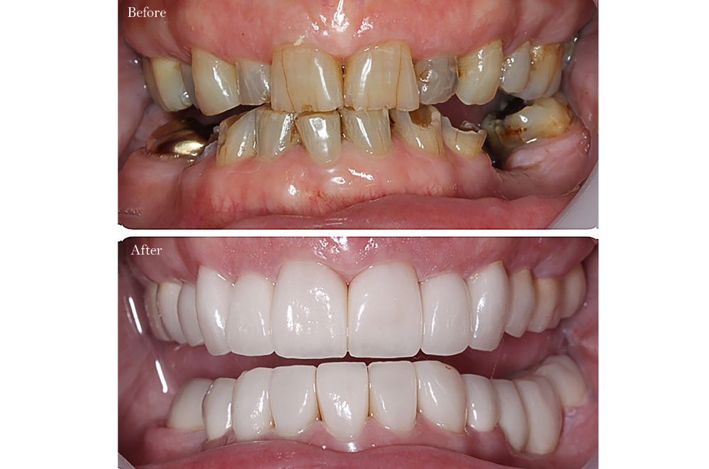
Discover Transformations in Our Smile Gallery













Dr. Kalhan's Areas of Expertise
With specialized expertise in dental implants, orthodontics, and sleep apnea treatment, Dr. Kalhan is dedicated to improving your oral health and enhancing your quality of life. Dr. Kalhan believes in building lasting relationships with his patients. He takes the time to understand your unique needs and concerns, ensuring that you receive the highest level of care in a comfortable environment.

